Skip to main content

Explore our Interactive Learning Platform

Filters

23
Dingxiang YUAN

Patient cases

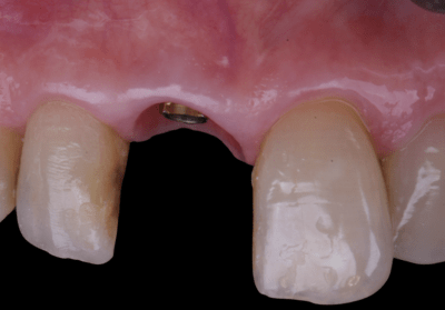
Static Guide + Dynamic Navigation + AI: A New Standard for Immediate Anterior Implants

Can AI-assisted biomimetic design and dual surgical guidance truly transform anterior implant outcomes? This case reveals how integrating 3D DSD, static guides, and real-time navigation achieved precise placement, perfect soft tissue symmetry, and a highly satisfied patient.

19
ZIHAN GUO

Patient cases

Digital Full-Mouth Rehabilitation in Severe Periodontitis: A Staged Approach

A 45-year-old patient with Stage IV periodontitis underwent full-mouth extraction and implant-supported rehabilitation. Using a digital workflow and staged VDO restoration, functional stability, aesthetics, and long-term success were achieved with precise, guided treatment.

jbh
Arturo Llobell

Videos

Respect Biology: The Tissue Should Not Be The Issue

Join Dr. Arturo Lobell as he explores peri-implant tissue management, emergence profile design, and the one-abutment-one-time concept—supported by clinical cases that highlight strategies for achieving stable bone levels and long-term aesthetic success.

Dr. Garza
Luis Carlos Garza Garza

Videos

Sequence First: The Six P Framework for Predictable Oral Rehabilitation

The Six-P Clinical Sequence, a practical framework for predictable multidisciplinary oral rehabilitation. Discover how biology, position, provisionalization, materials, protocol, and maintenance combine to improve long-term restorative outcomes.

32
Daniele De Santis
Miguel Roig Cayón
Giacomo Fabbri
Tristan Staas

Scientific posters

Strong early outcomes with gradually anodized surface implants in real-world practice

Interim results from a 1000-patient real-world study showed high implant survival with minimal inflammation, bleeding, and plaque accumulation, including in clinically compromised patients and sites requiring GBR. These findings suggest predictable early osseointegration and...

Webinar Banner Dr. Mintrone
Francesco Mintrone

Videos

Dental Lab: Friend or Foe?

Is your dental laboratory your greatest asset — or your biggest bottleneck? In this webinar, Dr. Francesco Mintrone, prosthodontist and master dental technician, reveals how a truly collaborative clinician–lab relationship, combined with prosthetically driven treatment planning.

Image illustrating a scientific poster by Eshraghi et al
Thomas Eshraghi
Miguel Roig Cayón
Giacomo Fabbri
Tristan Staas
Wolfgang Prinz

Scientific posters

Evaluation of gradually anodized surface on four implant systems. A prospective, thousand-patient real-world study.

This prospective real-world study of more than 1,000 patients found strong early performance of gradually anodized implants across four implant systems, with 98.4% implant survival reported over 0 to 27.5 months. The poster also reports healthy early soft tissue outcomes, with no...

Webinar with Prof. Zarb and Prof. Walther on a new case book series

Videos

Webinar recording: On Treatment Planning Prosthodontic Patients: A Case History Series

Designed specifically for interactive workshops, seminar discussions, study clubs, and online learning formats, the case book offers a ready‑to‑use framework for teaching clinical reasoning and prosthodontic treatment planning. 

BOPT full arch
Luis Carlos Garza Garza
Montserrat Mercadé
Xavier Rodríguez Ciurana
Javier Pérez

Patient cases

Full-Mouth Rehabilitation Using Vertical Preparation Technique (BOPT)

A 69-year-old female patient presented to the clinic seeking improvement in both the appearance and function of her dentition. Her chief concerns included compromised esthetics, difficulty during mastication, and generalized discomfort associated with dentin hypersensitivity. 

garza
Luis Carlos Garza Garza
Eduardo Crooke
Marta Vallés Rodríguez
Joan Soliva
Xavier Rodríguez Ciurana

Scientific articles

Can PMMA truly be trusted for immediate-load full-arch implant rehabilitations?


This clinical study evaluates the performance of digitally fabricated PMMA provisional prostheses in immediate-loading protocols, analyzing implant survival, marginal bone stability, and patient-reported outcomes over three months. The results support PMMA as a reliable, esthetic...

Dr Keeling Webinar
Susan Tanner

Videos

Webinar recording: Optimizing digital impressions

In this webinar, Prof. Keeling is presenting an evidence-based review of best practice for recording digital dental impressions. 

[Facial view showing a distance of 4 mm between the facial gingival margin to the underlying bone of failing left central incisor
Hung-Chi  Liao

Patient cases

Immediate Implant Placement With Socket-Shield in the Esthetic Zone

A 78-year-old patient received immediate implant placement and provisionalization using the socket-shield technique to preserve the facial mucosal profile. This approach enabled diastema closure, maintained soft-tissue contours, and delivered predictable esthetic results.

Cover page for the book by Prof Zarb and Prof Walther on Prosthodontic Treatment
George Zarb

eBooks and ePapers

On Treatment Planning Prosthodontic Patients: A Case History Series

This eBook publication is an extension of our Workshops’ educational ethos. It is a pro bono collective effort by the Workshops’ senior teaching faculty, together with additional input from a small, select cadre of younger scholarly participants.

Overcoming challenges
Shengchi Fan
James Chow

Videos

Overcoming Challenges with Dynamic Navigation in the Edentulous Maxilla

Learn how expert clinicians address the unique surgical and prosthetic difficulties of the edentulous maxilla, leveraging dynamic navigation, robotics, and clinical outcomes—including real cases, outcomes, and take-home lessons for implant dentistry.

Dr. Marchack webinar teaser
Brian Goodacre

Videos

Prosthodontic Success: Avoiding and Managing Complications in Fixed Complete Dentures

Prosthodontic Success: Avoiding and Managing Complications in Complete Dentures